ReminGelâ„¢:
More Than Relief
ReminGel doesn't just mask the pain—it restores your teeth's natural structure for lasting comfort.
ReminGelâ„¢: More Than Relief
ReminGel doesn't just mask the pain—it restores your teeth's natural structure for lasting comfort.
What is ReminGel?
Tooth sensitivity can make simple pleasures painful. ReminGel provides fast relief from sensitivity and also reduces the appearance of white spot lesions. ReminGel helps remineralize enamel, as it contains the natural building blocks needed to maintain and repair the damaged tooth.
Gentle on teeth and gums, ReminGel is safe for everyday use at home and clinically effective via provider prescription. It helps restore tooth structure and strengthen enamel —comfortably and confidently.
If you answered "yes" to any of these, ReminGel could be the answer you've been looking for—especially if you want a fluoride-free solution that strengthens your teeth. ReminGel rebuilds enamel by restoring essential minerals teeth need, creating stronger and healthier teeth.

Visible Results

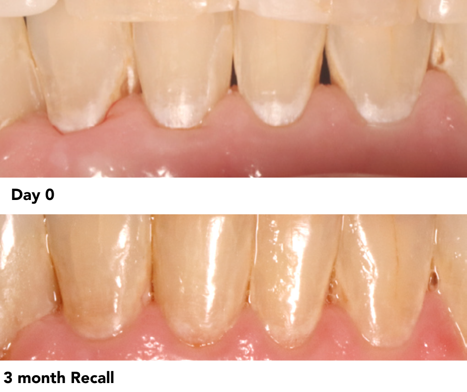
Patient Case with ReminGel and PerioProtect Tray®
The patient used ReminGel with the PerioProtect Tray daily for 15 minutes. No prior treatment or etching was performed—only routine cleaning.
Over the course of three months, visible improvement was observed. White spot lesions that were clearly present on Day 0 became noticeably less pronounced by the 3-month follow-up, demonstrating the enamel supporting benefits of ReminGel when used consistently with the PerioProtect Tray.
How ReminGel Works


How ReminGel Works
Why Patients Choose ReminGel
Fast Sensitivity Relief
Quickly eases discomfort from whitening treatments, hot or cold foods, sweets, and everyday wear.
Stronger, Healthier Teeth
Helps rebuild enamel, reduce white spot lesions, and restore essential minerals teeth need to stay strong.
Gentle & Fluoride-Free
Gentle on teeth and gums, fluoride-free, and safe for both in office care and at-home use.
Easy, Comfortable Use
Designed to be used with your PerioProtect Tray, ReminGel is mint-flavored and is applied at home in 3-15 minute sessions each day.
Patient Testimonials


Still Have Questions?
ReminGel is applied using custom-fitted PerioProtect trays for just 3-15 minutes. Your dentist will provide specific instructions, but most patients use it daily as part of their oral care routine. It's that simple!
ReminGel Videos
How To Use ReminGel
Watch the video to see how easy it is to use ReminGel with your PerioProtect Trays.
ReminGel is gentle on your teeth and gums, safe for daily use at home, and prescribed by your dental provider for proven results. It helps rebuild tooth structure and strengthen enamel—so you can protect your smile comfortably and with confidence.
Learn More About PerioProtect Trays
Discover how PerioProtect Trays work—and why dentists trust them above all others for at-home dental care.
PerioProtect Trays are the #1 prescribed, FDA-cleared system for delivering prescription-strength therapy safely and comfortably in your own home. Learn how this tray-based approach helps target gum bacteria, support healthier gums, and protect your teeth.
Using Your PerioProtect Trays
Already using PerioProtect Trays?
Discover how to get even more from your trays by using both PerioGel and ReminGel. Together, they make your PerioProtect Tray a true multipurpose home care system—helping manage gum health, reduce sensitivity, and strengthen enamel, all from the comfort of home.
What About Cost and Insurance?
We understand that cost is an important consideration when choosing any dental treatment. Here's what you need to know:
Insurance Coverage
Coverage varies by plan, so we recommend checking with your insurance provider or asking your dental office to verify benefits. Many HSA or FSA plans can be used towards benefits.
Payment
Most PerioProtect providers offer flexible payment plans or financing options to make treatment accessible. Don't let cost concerns prevent you from getting relief—talk to your provider about what options are available.
Questions about coverage?
Your dental office can help verify your insurance benefits and provide a treatment estimate before you begin.